隐形正畸成人正畸的选择
来源:  时间:2007-03-12
很多成人患者,由于美观、职业和社交的要求,非常希望自己有一口整齐的牙齿,但是对于戴上矫正器后的“钢齿铁牙”顾虑重重,由此,隐形正畸技术应运而生,解决了牙不齐的问题。
   这种技术一问世,便受到了演义艺界人士、律师、教师、公务员等美观或职业要求较高和爱美人士的热烈欢迎,达到了完美的牙齿美容的目的。
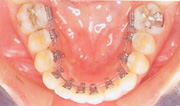
   隐形正畸就是把矫治器全部安装于牙齿的舌侧面进行正畸治疗,因此也叫作舌侧正畸。这种正畸方法是从外面看不见矫治器,正畸治疗期间仍然可以进行正常的社交和职业活动。隐形正畸 —— 不知不觉中改变了牙齿排列,改变了面部形象。
   成人舌侧隐形正畸治疗首先是由日本齿科医生发明并在临床应用,现在已经在发达国家逐渐普及。它是当前口腔正畸中技术含量最高、临床操做最复杂、但在治疗中美观效果最好的固定正畸矫治技术,因此既是当前临床正畸学研究的热点,也是固定矫治技术的高点。
   西美齿科在全国最早开展舌侧隐形正畸临床和基础研究,已经成功地做了数百例舌侧隐形正畸,为患者很好地改善了形象和口腔功能。徐教授根据多年的临床实践经验并结合中国人牙颌面形态特征,提出东方人个性化滑动直丝弓矫治技术,这是当前国际口腔正畸学领域里唯一由中国人拥有知识产权的直丝弓矫治技术。徐教授创造的这些先进技术取得了很好的社会效益,先后应邀到国内十余个省市讲学 50 余次,赴国外讲学及参加国际会议交流 10 余次。牙齿矫正的费用也很合理。
 
-- 友情连接 --