口腔内有很多正常的及致病的细菌存在。当牙面上粘接有矫治器后,不利于牙面的自洁作用,妨碍刷牙。如果牙齿刷得不好,牙齿间残留有食物,则细菌大量繁殖;且正畸治疗时牙齿和牙周组织的抗病能力有所下降,口腔卫生不良会导致牙齿和牙周比平时更容易患牙龈炎、牙周炎、牙齿脱钙及龋齿等,出现牙龈肿胀、出血、口腔异味等症状。久而久之如果炎症累及牙槽骨,则可出现牙齿松动,从而造成严重后果。
牙齿脱钙

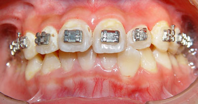
牙龈红肿

口腔卫生不良不仅影响口腔健康,也妨碍矫正治疗的进行,对于不能很好保持口腔卫生的患者,为不影响口腔健康,医生将终止治疗。
因此,患者在矫治过程中要认真刷牙,保持良好的口腔卫生,早晚及饭后必须刷牙,可选用特制的正畸牙刷。将牙齿的的软垢及存留的食物残渣仔细刷干净,以防止龋齿的发生。尤其是戴固定矫治器,不容易清洁,每次刷牙时一定要干净彻底,不能应付差事,草率了事。活动矫治器每天也要刷洗干净,否则时间一长会有异味。除了上述要注意的事项外,要减少吃零食和糖果的数量,尤其是香口胶,因为香口胶黏着于矫正器上,则难以清除。定期做口腔检查和洗牙。
但也有许多患者通过正畸治疗养成了良好的口腔卫生习惯,受益终身。正畸医生会在治疗的始终指导、督促患者,正确、认真的刷牙;教患者如何使用牙线等口腔清洁工具。通过矫正求美者不仅拥有一口整齐漂亮而且是健康的牙齿。
|