一、早期矫治
1.预防性矫治
预防性矫治是及时发现影响正常生长发育的因素,保持正常合。包括预防错合畸形的宣传教育,牙弓内缺隙的保持,保持牙的正常替换,控制龋病及不良习惯。
(1)缺隙保持器

(2)阻萌器
(3)导萌


2.阻断性矫治
阻断性矫治除及时消除病因外,还要及时中断已经发现或正在发育中的畸形,重建正常合。包括缩小了的间隙再获得,阻断因牙数目、牙大小、唇系带异常及不良习惯等引起的错合或正在形成的错合。
(1)多生牙的拔除
(2)不良习惯破除器
二、正畸治疗
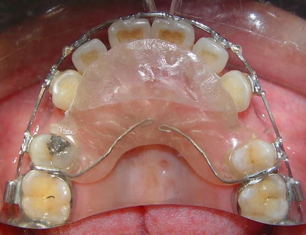
1、活动矫治器? 矫治器是一种治疗错合畸形的装置,或称正畸矫治器。它可产生作用力,或由咀嚼肌口周肌功能作用力藉矫治器使畸形的颌骨、错位牙齿及牙周支持组织发生变化,以利于牙颌面正常生长发育。活动矫治器是一种由患者自行摘戴的矫治装置,因而又称可摘矫治器。它是由基托、固位体、各种弹簧所组成。使用活动矫治器必须严格选择适应证,认真加力,患者合作才能保证疗效。
常见的活动矫治器有:
(1)平导---用于打开咬合(压低下前牙)

(2)唇挡---限制上前牙前突、
(3)扩弓---扩大牙弓


(4)功能性矫治器---促进或限制颌骨的生长发育




(5)舌习惯矫治器
(6)固定正畸治疗结束后都要做的活动保持器也是其中的一种。
活动矫治器在使用过程中,患者是否合作很关键,大多数应用活动矫治器的是少年儿童,他们的自觉性不是很好,这种矫治器本身由于基托大、卡环多、加力弹簧力量不均匀,有的还得戴在嘴里吃饭、睡觉是不太舒服,有时还需自己加橡皮牵引圈。没有好的自觉性是不能保证疗效的。不配合的儿童往往与家长的教育方式也有一定的关系,当然做家长的也应体谅小孩的不适反应。
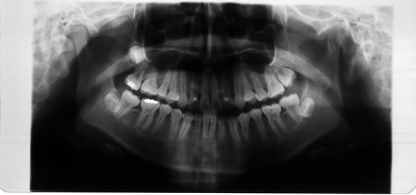
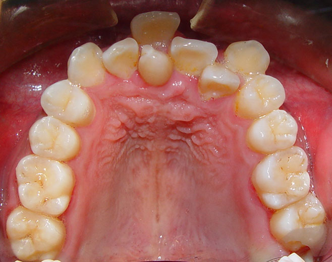
2、固定矫治器 它粘固在牙齿上,可以精确地移动牙齿,能够矫治各种复杂的错合畸形,矫治效果好,是目前国内外最常使用的矫治器。各种固定矫治器大都由带环、矫治弓丝、托槽等三部分组成。我国自从开展固定正畸以来,先后用过Begg细丝弓矫治器、方丝弓矫治器、直丝弓矫治器来矫治错合畸形。目前国内普遍采用的是直丝弓矫治器。按照直丝弓托槽的槽沟角度的不同设计,常用的直丝弓矫治器又可分为Roth系列直丝弓矫治器、OPA-K直丝弓矫治器、MBT直丝弓矫治器等。按照托槽所用材质的不同,可以分为国产金属托槽、进口金属托槽、生物陶瓷托槽。
固定矫治的时间一般要1~2年,成年人可能需要更长的时间。在这段时间中每个月要到医院治疗一次,也就是通过矫治器给牙齿重新加力。加力以后大部分人都会感到牙齿酸痛,尤其在咬东西时更加明显,这属于正常现象。疼痛一般持续3~4天,以后的日子里牙疼会逐渐减轻。固定正畸同样不仅需要医生的努力,还要求患者能够遵照医生的嘱咐认真配合治疗,才能最终实现正畸的目标。
三、手术治疗。
对于有颌骨畸形、严重影响面容的成年患者,需要采用手术方法进行矫治。
|