按时复诊的重要性
来源:  时间:2007-03-12

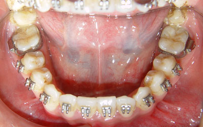
矫正过程中必须按照医嘱定期复诊,一般戴上固定矫治器后每4-6周复诊一次,若不按时复诊或长期不就诊,被矫治牙将失去控制,会出现牙齿移位异常或治疗无进展等情况,若矫治过程中出现带环松脱,弓丝断裂等情况而影响到口腔功能时应及时与医生联系,确定是否需来医院治疗。

图示 未按时复诊:长期III类牵引——6,7之间形成台阶

?

 
-- 友情连接 --