白塞综合征又称眼、口、生殖器三联综合征。
病因:
为自身免疫性疾病。
患者血清中存在自身循环抗体:抗核抗体、抗口腔粘膜抗体、抗胃壁细胞抗体。
还有免疫复合物,纤维蛋白原增高。
细菌、病毒感染可能是诱因,遗传及免疫反应失调为本病发病的内因基础。
临床特点: 1.男性比女性多见。
2.口征:口腔溃疡是初征,又是主征,有阿弗它型与疱疹型。病程长,常反复发作。

3.眼征:结膜炎、色素层炎、前房积脓等,可失明。

4.皮征:丘疹、脓疱、毛囊炎、结节红斑、多形红斑、脓皮病。

5.生殖器:多为外生殖器溃疡,多见于阴唇、阴茎、龟头、阴囊等处。反复发作,形态与口腔溃疡类似。

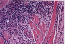
6.检查:白细胞↑,血沉快,丙种球蛋白↑。 病理特点: 1.非特异性溃疡。
2.明显的血管改变:血管扩张充血,内有玻璃血栓,周围有类纤维蛋白沉积。
3.结缔组织内有大量淋巴细胞及浆细胞浸润。


诊断: 【诊断条件 】主要症状: 1.口腔粘膜摇复发性阿佛他溃疡 2.皮肤症状(1)结节样红斑样皮疹 (2)皮下血栓性静脉炎 (3)毛囊样痤疮样皮疹 (4)皮肤针刺试验阳性 3. 眼症状 (1)虹膜睫状体炎 (2)视网膜脉络膜炎 (3)前两者的继发病变 4.外阴病变 (1)男性阴囊阿佛它溃疡 (2)女性大小阴唇阴道壁痛性溃疡
【判断标准】完全型:临床经过中同时或先后出现4大主征者 不完全型:出现3项主征或典型眼症状另加1项主征 疑似型:临床经过中出现2大主征 仅有可能者:反复出现1大主征
治疗:
尚无有效的根治方法。治疗目的在于缓解症状减少脏器受损。对无重要脏器受累者,以秋水仙碱为首选药物,对有内脏受累尤其有眼病变影响视力者多需联合用药。
1.秋水仙碱:此药有抗趋化作用,用于防止溃疡、虹膜炎、滑膜炎及静脉炎。每次0.5mg,每日2~3次。毒性反应有骨髓受抑制、恶心呕吐、食欲不振,腹泻与便秘等。
2.肾上腺皮质激素:一般用强的松30~40mg,每日1次口服,对重症可静脉滴注氢化考的松或地塞米松。待症状缓解后改为口服。肾上腺皮质激素虽可使口腔溃疡及关节炎症状缓解,但减量或停药后病情往往复发。对中枢神经系统损害多难治愈。
3.免疫抑制剂:免疫抑制剂对重症色素膜炎50mg,每日3次或200mg,静脉注射,每日或隔日1次。使用时应注意白细胞下降,消化道不良反应及脱发等副作用。近年来试用环孢霉素A(CycosyrinA)对眼疾患有一定疗效。对其他系统损害疗效不够明显。每次125~300mg,每日工1次,3个月为1疗程。雷公藤甙,每次30mg,每日3次。有白细胞下降、血小板减少、食欲不振,闭经、精子减少等副作用。也可用瘤克宁,氨甲喋呤等免疫抑制剂。
4.其他疗法:对有结核病者给予抗结核药物。 |