北京梅晓口腔门诊 咨询电话:010-88552709.88552711
邮箱:meixiaokouqiang@sina.com
口腔资源网 口腔资源网 口腔诊所 口腔诊所 口腔网上就诊预约 口腔诊所 口腔保健常识 口腔资源网
典型病例导航
光固化修复
烤瓷冠修复
正畸
外科正牙美容
诊 所 预 约 咨 询
用户名:
密码:
      
在线免费电话咨询
QQ: 86845479
诊 所 在 线 维 护
登陆名:
密码:
验证码:
7452
 
 典型病例  
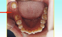
下后牙缺失修复前 下后牙缺失贵金烤瓷桥修复后
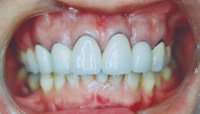
97年普通烤瓷冠修复后出现牙龈染色 03年铸瓷冠重新修复后牙龈染色消除
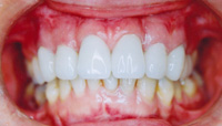
本门诊部修复前为四环素牙光敏固化修复 上下牙由本门诊部做铸瓷冠修复
公司电话: 028-87363855 客户部电话:028-87363855 传真:028-87336020 邮箱地址: sale@sdtsoft.com
2006 成都口腔资源网 版权所有 ICP备案号:蜀ICP备05005238号